O que é gengivite? Sinais e sintomas
O que é gengivite?
Gengivite - uma inflamação da gengiva - é o estágio inicial da doença da gengiva e a mais fácil de ser tratada. A causa direta da doença é a placa - uma película viscosa e sem cor de bactérias que se forma, de maneira constante, nos dentes e na gengiva.
Gengivite - uma inflamação da gengiva - é o estágio inicial da doença da gengiva e a mais fácil de ser tratada. A causa direta da doença é a placa - uma película viscosa e sem cor de bactérias que se forma, de maneira constante, nos dentes e na gengiva.
Se a placa não for removida pela escovação e uso de fio dental diários, ela produz toxinas (venenos) que irritam a mucosa da gengiva causando a gengivite. Neste estágio inicial da doença da gengiva, os danos podem ser revertidos, uma vez que o osso e o tecido conjuntivo que segura os dentes no lugar ainda não foram atingidos. Entretanto, se a gengivite não for tratada, ela pode evoluir para uma periodontite e causar danos permanentes aos dentes e mandíbula/maxilar.
Como sei que tenho gengivite?
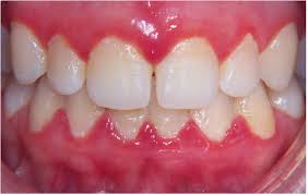
Os sintomas clássicos da gengivite incluem gengivas vermelhas, inchadas e sensíveis que podem sangrar durante a escovação. Outro sintoma de doença é o recuo ou retração da gengiva, conferindo aos dentes uma aparência alongada. A doença da gengiva pode formar bolsas entre os dentes e a gengiva, onde se acumulam restos de comida e placa. Algumas pessoas têm mau hálito frequente ou sentem gosto ruim na boca, mesmo se a doença não estiver em estágio avançado.
Os sintomas clássicos da gengivite incluem gengivas vermelhas, inchadas e sensíveis que podem sangrar durante a escovação. Outro sintoma de doença é o recuo ou retração da gengiva, conferindo aos dentes uma aparência alongada. A doença da gengiva pode formar bolsas entre os dentes e a gengiva, onde se acumulam restos de comida e placa. Algumas pessoas têm mau hálito frequente ou sentem gosto ruim na boca, mesmo se a doença não estiver em estágio avançado.
Como posso prevenir a gengivite?
Uma boa higiene bucal é essencial. A limpeza profissional também é extremamente importante, pois uma vez que a placa se acumula e endurece (ou torna-se tártaro), apenas o dentista ou um higienista podem removê-la.
Uma boa higiene bucal é essencial. A limpeza profissional também é extremamente importante, pois uma vez que a placa se acumula e endurece (ou torna-se tártaro), apenas o dentista ou um higienista podem removê-la.
Você pode prevenir a gengivite pela:
- A correta escovação e uso apropriado do fio dental para remover placas e restos, e do controle do aparecimento de tártaro.
- Alimentação correta para garantir nutrição adequada
- Evitar cigarros e outras formas de tabaco.
- Ir ao dentista regularmente.
Nenhum comentário:
Postar um comentário